
30代半ばでインビザラインによる歯列矯正を始めました。
矯正開始から6か月2週間経過し、26枚中25枚目のマウスピースに突入したので矯正記録です。
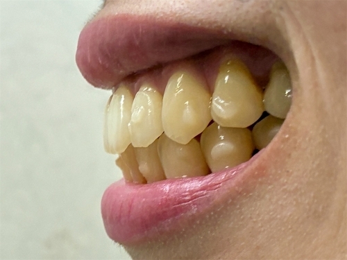
歯並びの変化は?
比較していきましょう。






出っ歯、右下犬歯のクロスバイト(下の歯が外側に出ていた)はすっかり改善されました。


左下前歯のねじれも解消されつつあります。
ただ、右下犬歯が左と同じレベルまで下がるのは厳しそう。
パッと見きれいだから全然いいのですがね。
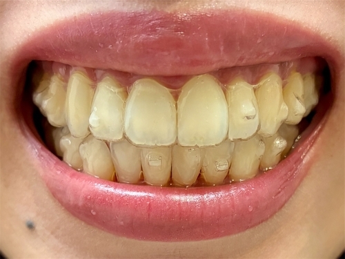
マウスピース25枚目に突入

ラスト2枚まで来ました。
歯医者さんによると、最後のマウスピースの後は嚙み合わせ調整&保定期間となりリテーナー装着生活が続くそうです。
嚙み合わせに関しては、左奥歯がちょっと浮いた感じがあり咀嚼しにくいというのが現状です。
これは改善されるとのことでホッとしています。
矯正生活は続くけれど、歯並び維持のため頑張ろう。
前回の矯正記録24はこちら↓
マウスピース矯正で感じる大変さをまとめた記事はこちら↓