
あけましておめでとうございます。新年一発目は矯正記事です。
私、30代半ばでインビザラインによる歯列矯正を始めた主婦ですが、先日矯正期間を終えついに保定期間に突入しました。
矯正期間を共にしたアタッチメント(歯の表面に付いていたポチポチ)ともおさらばしたので、矯正前の歯並びと比較してみましょう。
さらに悪い変化もまとめておきます。
歯並びの比較
ではさっそく比較写真です。
正面から↓


左から↓


右から↓


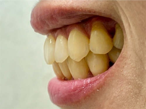
口を開くと↓


肌がガサガサなのは置いといて、見ての通り歯並びは大変綺麗になりました。
出っ歯や右下犬歯のクロスバイト(交叉咬合)は改善され、下のがたつきも大きく解消されています。
まだちょっといがんでいるところが残ってはいますが、矯正前と比べるとめっちゃ綺麗になったので大満足しております。
口を閉じた状態にも変化が
矯正前は出っ歯ゆえ、自然に口を閉じると前歯がちょろりと見えていました。
歯を全部しまうには口に力を入れないといけませんでした。
矯正後には、その問題も解決されています。
それではご覧ください。


唇の縦ジワが気になるのは置いといて、前歯ちょろりすることなく口をつぐむことができるようになっています。
口を閉じたときの自分の顔、嫌いだったけれどこれで好きになれそう。
横顔にも嬉しい変化
横顔の変化についても満足しているところです。
出っ歯が引っ込んだことによって見た目が少し変わりました。
特に顎のラインがね。(Eラインじゃなくて)
これについては前回の記事で詳しく記していますので、ご興味があればどうぞ↓
悪い変化もある
矯正で見た目が綺麗になって喜ばしいことばかりかというと、そうではない一面もあります。
歯茎が痩せた
歯にばかり注目すると気にならないですが、歯茎は痩せました。
特に右下の前歯、大きく下がってしまいました。綺麗な歯並びと引き換えに。
しみないように白い樹脂を貼ってもらいましたが、歯茎の健康的には気になります。
まあ普通にしていたら下唇に隠れる部分なので目立つことはありませんし、こうなることが分かっていたとしてもやはり私は矯正することを選んだでしょう。
ちなみに矯正後の下前歯がまだ少しねじれているのは、歯を動かす際の歯茎への負担を考えてこの程度で止めておこうという考えからでした。
歯の隙間が大きくなった
歯と歯の隙間(生え際の部分)に黒く隙間が空くようになりました。
ブラックトライアングルというやつです。
こちらも歯並びほど目立つわけではないので気にしていませんが、物が挟まりやすくなったのは地味に面倒です。
歯ブラシの後にフロスをしっかりしておかないといけません。
デメリットもあるのが矯正
メリットデメリットあるのが矯正ってことを身をもって実感しました。
ただ私は昔からの歯並びコンプレックスが解消されたので結果には大いに満足しています。
矯正を始める前にはメリットばかりではなくデメリットもしっかり説明してもらって判断することが大切ですね。
マウスピース矯正で感じる大変さをまとめた記事はこちら↓