
30代半ばでインビザラインによる歯列矯正を始めました。
矯正開始から5か月1週間経過し、26枚中20枚目のマウスピースに突入したので矯正記録です。
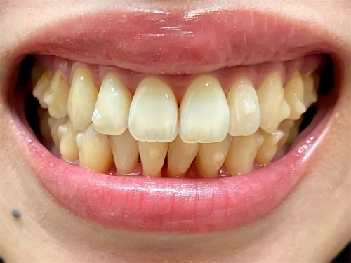
歯並びの変化は?
ではさっそく比較写真です。


全然ちゃいますね。
非抜歯でここまで綺麗になって嬉しいです。


出っ歯もすっかり引っ込みました。


右下犬歯のクロスバイトも、内側に収まっています。
終了までにもうちょっと引っ込むかな。


下前歯のねじれもかなり良くなっています。あともう少し。
ただ、ねじれを治すと歯の間の隙間がどうしても空くようです。
歯並びが綺麗になるほうが嬉しいので、よしとします。
マウスピース20枚目に突入
26枚中20枚目のマウスピースに交換しました。

矯正終了まであとひと月ちょっと。
ゴールが見えてまいりました。
ラストスパート、もうひと頑張り!
前回の矯正記録19はこちら↓
マウスピース矯正で感じる大変さをまとめた記事はこちら↓