
30代半ばで矯正を始めました。インビザラインのマウスピース矯正です。
1ヶ月と2週間経ちまして、先日5枚目のマウスピース(26枚中)に突入したので歯並びの記録です。
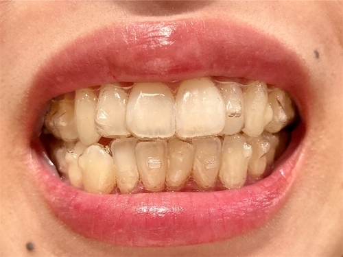
歯並びの変化は?
さっそく歯並びの様子を見ていきます。
ぱっと見は分からないですが、ここにきて少ーし変化しているのに気づきました。


例えば上の左前歯と2番目の歯。(写真だと向かって右側)
左前歯が2番目の歯に被っているのですが、その度合いが変わっています。
矯正前と比べると、2番目の歯の見えている面積が若干広くなっていますよね。




あと、横から見たときの上前歯の形状が良くなっている気がします。
矯正前は直線的で出っ歯!て感じですが、現在は丸くゆるやかにカーブを描いているような形になってきてません?
そして右下の犬歯がクロスバイトになっているところ。
矯正前は大きく前に倒れていますが、少し起き上がってきている気がします。


マウスピース装着時の噛み合わせが改善
マウスピース装着時の写真を見比べてみます。


矯正開始時にマウスピースを装着するとしっかり噛み合わない、歯と歯が浮いた感じがすると書きました↓
しかし写真を見比べると分かるように、マウスピース5枚目現在かなり改善されています。
マウスピースに慣れてきたからかな~と考えていましたが、見た目からして明らかに装着時の違和感が軽減されています。
これはめっちゃ嬉しい。
アタッチメントが外れた(2回目)
実はまたアタッチメントが外れました。
今回はいつの間にか外れており、気付いてからすぐ歯科クリニックへ連絡し付けてもらいました。
歯医者さん曰く、もし気付かなかった場合でも次の通院で付けるので大丈夫だし、それによって進行が遅れることもないので心配しすぎないでOKみたいです。
アタッチメントはマウスピースを外すときに特に力がかかって取れやすいので、ちゃんと両サイドの奥歯側を浮かしてから外すようにするといいそうです。
確かに横着して片側だけ浮かしてペリペリペリって外すときあったなあと反省。
変化はモチベ上がる
ようやく表れた変化、めちゃくちゃ嬉しい。
ますます矯正がんばろうって気持ちになりますね。
あとは食いしばりも改善されんかな。
変化の喜びは噛みしめて、歯の噛みしめはほどほどにってね。
続きの矯正記録6はこちら↓
前回の矯正記録4はこちら↓
マウスピース矯正で感じる大変さをまとめた記事はこちら↓