
30代半ばで歯列矯正を始めた主婦です。
矯正を始めて2か月2週間経ちました。
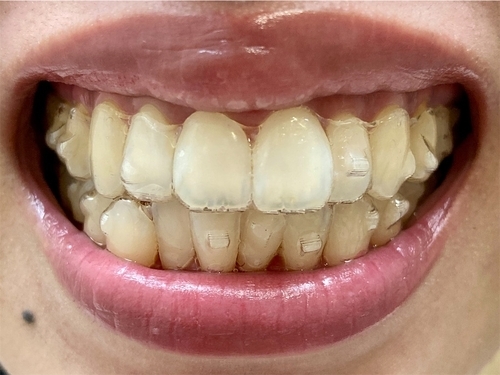
インビザラインのモデレートプラン、マウスピース9枚目(26枚中)に進んだので、矯正記録です。
歯並びの変化は?
さっそく歯並びの変化を見ていきます。


交叉咬合(クロスバイト)になっていた右下犬歯がだいぶ起き上がってきました。
上の歯の内側に当たる感覚があり、新鮮です。
最も治したい箇所の1つなのでとても嬉しい。


右から見ても、犬歯の角度が変わっているのが分かります。


出っ歯具合も改善されてきました。


以前は鏡の前で自分の歯並びを見るたびに悲しい気持ちになっていましたが、今は綺麗になっていく過程が感じられて楽しいです。
交叉咬合の治る過程で…
本来内側にあるべき下の歯が、上の歯に被さるように外側に生えている交叉咬合。
これを治す過程でどうしても上の歯とぶつかるという段階が生じています。
外にある歯が内に入っていくので、仕方のないことです。
しかしこれにより、現在奥歯が噛み合わなくなってしまっています。
咀嚼がしにくいったらありゃしない。
右は噛み合わずスカスカですが左の奥歯はかろうじて噛み合っているので、そっちばかりで咀嚼してしまいますね。
早く内側へ入ってくれと犬歯に念を送る毎日。
マウスピース9枚目装着
9枚目のマウスピースに交換しました。

マウスピース生活にもすっかり慣れましたが、今度万博に行くので現地での着け外しが面倒そう…とちょっぴり不安です。
続きの矯正記録10はこちら↓
前回の矯正記録8はこちら↓
マウスピース矯正で感じる大変さをまとめた記事はこちら↓